ご予約・お問い合わせ
03-6416-5158

当然ですが、歯科治療の精度は歯科医師のレベルと比例します。しかし、人の力には限界があります。そこで活躍してくれるのが「精密機器」です。ここでは、当院で導入している一部の機器についてご紹介します。

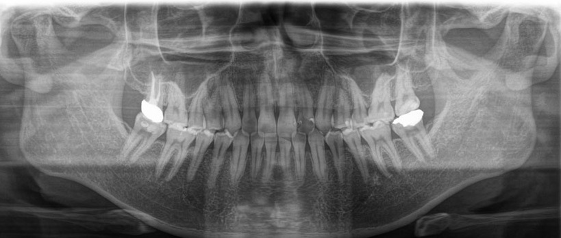
「CT」を活用することで、三次元での撮影が可能になります。通常のレントゲンは二次元のため、詳細な骨の厚さや血管・神経の位置などまでは確認することができません。しかし、CTはこれらを撮影できます。
歯科治療において、「見える/見えない」は治療結果に大きく影響するため、CTを活用することで、治療精度向上に努めています。

「マイクロスコープ」は歯科用顕微鏡と呼ばれ、視野を肉眼の十数倍に拡大してくれます。下記をご覧ください。


ご覧いただいた通り違いは一目瞭然だと思います。この「見える化」によってより高度な治療が可能になります。


「iTero」はお口の中をスキャニングするだけで、精密な型取りができる装置です。型取りの際の息苦しさがなく、嘔吐反射が強い方でも安心して型取りが可能です。
また、インビザライン矯正による治療前後の歯並びのシミュレーションもできるため、あらかじめどのような歯並びになるのか実際に目で見て確認できます。


「歯科衛生士」は虫歯・歯周病の予防のプロです。当院では、歯科衛生士による、患者さんへのきめ細かなサポートをしています。
患者さんのお口の状態を常に把握できるため、小さな変化を見落とすことなく、その時に必要なケアを抜け目なく行えます。歯石の除去などの基本的なケアから、患者さんの生活習慣に至るまで、しっかりと把握し、お一人おひとりに最適な治療をご提案いたします。

良き歯科治療は、綿密な治療計画があってこそ達成されると私たちは考えています。当院では、患者さんの理想を伺い、それを実現させるために最適な治療計画を立案、提案いたします。決して一方的な治療方針の提案はいたしませんので、ご安心ください。
また、「個室」のカウンセリングルームをご用意しておりますので、周囲を気にせず、お悩みや希望をお話いただけます。些細なことでも構いません。不安なことや疑問点は遠慮なくご質問ください。必ず、患者さんの納得・理解を得られてから治療をスタートします。

虫歯や歯周病が再発する理由は「原因」にアプローチした治療を行っていないからです。当院では、再発防止のために、精密な検査を行い、原因を究明したうえで、患者さん一人ひとりに合わせた治療法を提案・実践しています。ここでは、当院が行っている検査内容の一部をご紹介します。

肉眼では見えない虫歯や歯周病の進行度を確認します。また、歯を支える顎の骨の状態もチェックします。

歯周病は自覚症状が出にくい病気です。進行すると顎の骨を溶かしてしまうため、歯周組織を検査し、病気の進行度を調べます。

上下の顎の筋肉の動き、噛み合わせのズレ、歯の不良な接触部分などのチェックを行います。
当院では、患者さんが抱えていらっしゃるお口のお悩みや疑問・不安などにお応えする機会を設けております。どんなことでも構いませんので、私たちにお話ししていただけたらと思います。
ご興味がある方は下記からお問い合わせください。