
- 白い詰め物「4.9万円~11万円(税込)」
- 白い被せ物「9.8万円~17.6万円(税込)」
- ダイレクトボンディング「3.3万円(税込)」
※保険診療ではなく自由診療となります。
ご予約・お問い合わせ
03-6416-5158

※保険診療ではなく自由診療となります。

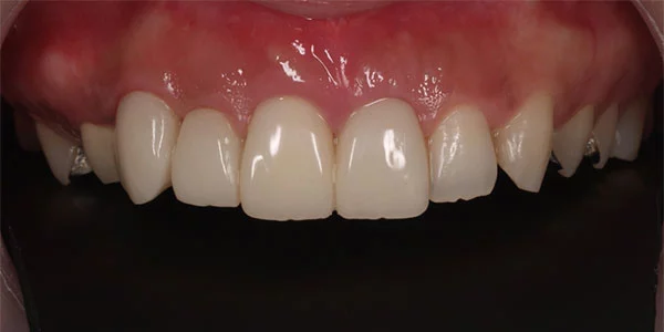
セラミック治療を検討されている患者さんにお勧めなのが「ダイレクトボンディング法」と呼ばれる治療法です。この治療法は、最短「1日」で「白い歯」を手にすることができます。
具体的には、歯を削る量を最小限に抑えながら、レジンと呼ばれる樹脂製の詰め物をします。ケースによっては適応できない場合がありますが、下記のようなお悩みをお持ちの方は、ぜひ一度ご相談ください。
☑銀歯を白くしたい方
☑すきっ歯を改善したい方
☑欠けた歯の修復をしたい方
☑歯の白濁(ホワイトスポット)

一口に「美しい歯」と言っても、患者さんによって求める美は異なります。
例えば、天然歯のような自然な歯を求める方もいれば、芸能人のように白い歯がご希望の方もいらっしゃるでしょう。その他にも歯の色や形にこだわりたい、銀歯を白くしたいなど、さまざまな理想があるはずです。
これらの希望は、審美セラミック治療ならすべて対応できます。ホワイトニングのように、ただ歯を白くするわけではありませんので、歯の色調、形、歯並びまでも患者さんの理想に近づけることができます。当院では、これらを達成するために「3つの取り組み」を行っています。それぞれご紹介します。

歯を美しくするためには「2つ」の美の基準を考慮する必要があります。一つは、患者さんの理想の美である「主観的な美」。
もう一つが、第三者が見た時に美しいと感じる「客観的な美」。
治療に際して、患者さんの希望を伺うのは当然です。しかし、当院では、同時に誰が見ても美しいと思う歯も追求しています。なぜなら、患者さんが美を求める根底には、周囲に美しく見られたいという気持ちがあると思うからです。客観的な美の創造は歯の専門家である私たちにお任せください。
それでは、具体的にどのようにしてこれら2つの美を達成させているのか、ご紹介します。

患者さんが求める美を知るためには、患者さんの想いを共有することが大切です。当院では、各工程で患者さんとイメージのすり合わせを行い、理想に近づけるよう取り組んでいます。

具体的になりたいイメージや、今回の治療で達成したいことをお伺いします。雑誌など、明確にこうなりたいという理想像がある場合は、ぜひそちらをお持ちください。また、模型やこれまでの症例を紹介しながら、イメージすり合わせることも可能です。

ワックスアップとは、治療後の歯をロウでシミュレーションした模型のことを言います。治療前・治療後のイメージにズレが無いか、模型で確認を行います。

ワックスアップ模型でイメージのすり合わせを行ったら、仮歯を製作し、実際に装着していただきます。歯の色合いや形態など、患者さんが納得いくまで調整を行います。

客観的な「美」を創り出すのは私たち、お口の専門家です。実は歯には、誰が見ても美しいと感じる形、バランスがあります。それらを患者さんのお口に合わせて計算することで、客観的な美の創造を行っています。

笑った時に、下唇のアーチと歯並びのアーチを一致させると、口元の美しさが際立ちます。
著書:山崎長郎 クインテッセンス出版:エステティック クラシフィケーションズより引用

前歯が美しく見える「比率」があります。それは「中切歯(1.618)」:「側切歯(1)」:「犬歯(0.618)」という比率となります。この比率に整えることで、誰が見ても美しい前歯になります。

顔の真ん中のラインを「正中線」といいます。上の前歯の真ん中が、正中線上に来るように整えることにより、歯並びがバランス良く見えます。

口元を美しく見せるために重要なのは歯だけではありません。「歯肉」も重要です。そのため、「生物学的幅径」を尊重し、適合性の良い「被せ物」を制作します。

当院は、ただ歯を美しくするだけの治療は行っていません。
美しい歯をいかに持続していただけるか。「美の長期安定」にこだわって日々治療を行っています。そのための取り組みをご紹介します。

何事も「基礎」が大事と言われますが、それはセラミック治療にも言えることです。そもそも、セラミック治療は、「歯」を土台にしてセラミックの被せ物をします。つまり、土台となる歯に問題があれば、どれだけ美しい歯を手入れたとしても、その美しさを保つのは難しくなってしまいます。
そのため、虫歯や歯周病などがある患者さんについては、まずそちらの治療を優先して行っていただきます。


被せ物は人工物のため、天然歯との間に隙間が生じやすくなります。この隙間から虫歯菌等が侵入すると、知らない間に虫歯が進行してしまうことがあります。
それらを防ぐために、マイクロスコープを使用します。マイクロスコープは視野を肉眼の十数倍にも拡大してくれるため、セラミックを隙間なく被せることができます。

被せ物を製作するのは「歯科技工士」です。つまり、被せ物のクオリティはこの歯科技工士の腕に大きく左右されることになります。

笑った時に、極端に歯茎が出る症状を歯科用語で「ガミースマイル」と言います。患者さんによっては、この症状のために人前で笑うのをためらったり、つい口元を隠してしまう方もいらっしゃいます。しかし、ガミースマイルは治療することができます。当院でも、ガミースマイルの治療も行っておりますので、お気軽にご相談ください。
当院では、患者さんが抱えていらっしゃるお口のお悩みや疑問・不安などにお応えする機会を設けております。どんなことでも構いませんので、私たちにお話ししていただけたらと思います。
ご興味がある方は下記からお問い合わせください。